患者女性,以“脑动静脉畸形伽马刀术后11年,再次脑室出血1月余”入院。11年前因脑室出血检查发现动静脉畸形,行伽马刀治疗,恢复至日常生活自理,1月余前再次出现脑室出血,行CTA及DSA检查示脑动静脉畸形合并动脉瘤,先后至多家医院就诊考虑治疗难度大。
我们经仔细分析及多科室讨论认为动静脉畸形较小,手术切除创伤大,合并动脉瘤再行放射治疗的效果不佳,介入栓塞,但由于供血动脉细小,处于末梢,难度大。术中克服困难,成功将微导管插入畸形团,注胶栓塞,一次治愈,术后患者无不适,查体正常。以下为术前、术中及术后相关影像。

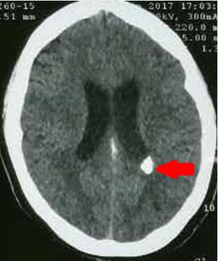
图1 1月余前脑室出血CT

图2 DSA正位显示动静脉畸形及动脉瘤
图3 DSA侧位显示动静脉畸形及动脉瘤
图4 DSA工作角度显示动静脉畸形及动脉瘤
图5 微导管到位后造影显示动静脉畸形及动脉瘤

图6 栓塞后造影显示动静脉畸形及动脉瘤消失
图7(畸形及动脉瘤被胶填充)

术后复查CT,可显示栓塞剂显