
患儿,李刚,男,2岁
【主诉】以"间断发热"入院。
【现病史】入院前患儿曾在外院诊治,有间断惊厥、精神烦躁以及意识障碍表现,伴间断发热,外院按"病脑"诊治后症状消失出院。出院后惊厥、精神烦躁以及发热等症状再次反复。入我科时患儿精神异常烦躁,有间断发热,体温在38-39度之间。
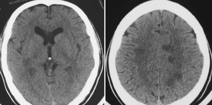
【辅助检查】行腰穿脑脊液检查除外"化脑"、"隐球菌性脑膜炎"等,头颅CT提示顶枕区小片低密度影,按"病脑"治疗后患儿精神状况及意识反应等好转,但体温未完全下降至正常,仍有37.5-38度的低热,
【诊疗经过】按"结脑"抗痨治疗3天后体温降至正常,但患儿出现夜休差以及极度烦躁不安等表现,因家属过分担忧抗痨药的"不良反应"而停止抗痨观察,烦躁未减轻,复查脑脊液提示白细胞数较高(3210/L),糖含量降低(2.89mmol/L[3.8---4.4]),头颅磁共振提示脑顶枕区皮层出现局限性片状信号灶。考虑"脑炎",结脑可能性仍大,再次抗痨治疗,总疗程约4周左右,抗痨过程中患儿仍间断烦躁,自主语言减少,同时出现渐进性认知障碍以及胡言乱语等表现。按"脱髓鞘性疾病"给于静点"人血丙种球蛋白"输注后患儿意识及精神反应等状况明显好转,复查脑脊液除糖稍低外其余均恢复正常,继续予以激素治疗。停用丙球后患儿意识及精神状况复又出现恶化,但总体水平仍较应用"丙球"前为好,复查头颅磁共振提示"脑白质病".出院后用药:强的松:7.5mg每日两次。每周减1片,直至减完鲁米那:早30mg.,晚15mg.,每周减半片,直至减完同笑:5ml.,每日两次.
建议:查极长链脂肪酸2004-02-13北京友谊医院化验:极长链脂肪酸结果为阴性2004-02-15北大一附院就诊:大夫诊断为脑炎后期,让自己慢慢恢复。此后未再检查用药。现在孩子已5岁,2004年下半年易出现恶心,呕吐。表现为嘴唇发青,不停想咽唾沫,吐出胃内容物,非喷射状。出一身汗,有时吐完后要睡觉。后来发作次数逐渐减少。近半年来偶有1-2次。3年来(出院后)感觉孩子容易兴奋,好动,注意力不集中。现已上幼儿园大班,背诵儿歌较快,计算、写字较差,领会较慢。