
患者赵某某,40岁,男性,北京人,于2014年2月13日以阵发性头晕头痛3月,加重伴呕吐1周入院。
现病史:
患者于3月前出现头晕症状,行走时向右侧倾斜,头痛头晕,自服“感冒药”后缓解。1周前头晕头痛加重,伴恶心、呕吐,为胃内容物,量约200ml,在医院行颅脑CT小脑蚓部低密度影,考虑占位性病变,建议性MR检查。为进一步诊治,故来我院行颅脑MRI检查提示小脑蚓部占位性病变,考虑囊肿,门诊以“小脑蚓部占位性病变(囊肿)”收住我科。发病以来神志清楚,精神差,饮食差、睡眠差,大小便正常,体重无明显变化,无抽搐,无咳血及血尿。
辅助检查:
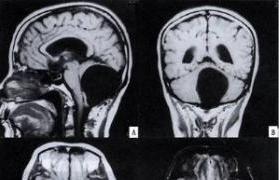
1. 颅脑CT平扫+增强示小脑蚓部低密度影,考虑占位性病变,建议MR检查。
2. 颅脑MR平扫+增强示颅脑MR平扫+增强示小脑蚓部异常信号影,考虑囊肿伴梗阻性脑积水。
根据以上检查结果,以及结合患者的情况,首医大三博脑科医院大夫给予患者小脑蚓部占位性病变(囊肿)的诊断,决定进行手术切除。
患者入院后三天后在全麻下进行了小脑蚓部蛛网膜囊肿切除术,术后患者生命体征平稳,术后安返病房。
术后三个月患者在门诊复查,大夫看术后片子,告诉患者目前情况很稳定,手术非常成功,患者自述目前不适感觉彻底改善,生活基本正常。