媒体报道
治疗方法 疾病简介 症状表现 检查诊断 饮食宜禁

脑脓肿的手术治疗病例

三博脑科医院 媒体报道

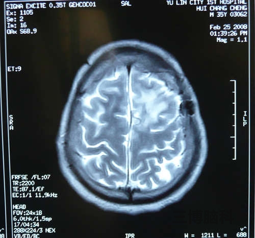
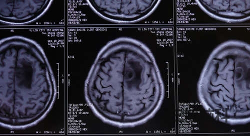
患者尹某,男,34岁。头痛、频发抽搐。MRI:左额顶近中先驱灶状占位,周围水肿明显。诊断:脑脓肿。立体定向微创技术切除病变。恢复良好。附图显示手术前后MRI比较。

>>脑囊肿怎么办?

术后显示:脑脓肿完全切除,患者症状消失,恢复良好。


>>脑囊肿怎么办?

病例视频
下一篇:没有了

©2020 河南三博脑科医院

咨询预约电话:0371-53351456、0371-58521333

地址:河南省郑州市中原区桐柏南路158号

Icp备案:豫ICP备2021018000号

河南三博脑科医院

咨询

挂号

首页

义诊

病友群

电话