患者男性,53岁。主因“突发头痛6天”急诊由外院转入。意识清楚,双瞳孔无异常。言语不利,四肢可以活动。CT可见颅内出血,伴有大脑中动脉M3/M4段动脉瘤。

箭头所示为大脑中动脉远端动脉瘤,位于颅骨内板下方很近的位置。开颅需要小心,防止动脉瘤意外破裂。

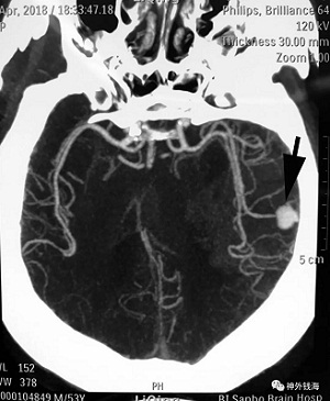
箭头所示为动脉瘤,悬挂于大脑中动脉主干上,瘤颈较宽,载瘤动脉远端通畅良好。

动脉瘤已经破裂,颞叶内有大量血肿。
对于此动脉瘤的治疗,我们准备了几种手术方案,根据术中情况选择。
如果顺利,直接夹闭动脉瘤颈。此方案简单。
如果不易夹闭,可以考虑临时阻断后切除瘤体,保留瘤颈,以显微血管缝合线缝合血管壁缺损。
如果上述方案仍然不合适,完全切除动脉瘤,截取自体STA插入搭桥(原位血管移植)。
在开颅过程中,需要注意两点:
游离骨瓣、剪开硬膜过程要非常仔细,以免造成动脉瘤意外破裂。
保留好STA,剥离出4cm左右备用。
术中情况:动脉瘤位于侧裂远端的M3段,瘤体较大,位于载瘤动脉深方。血肿主要位于颞叶内。临时阻断载瘤动脉,分离动脉瘤颈及瘤体,可见动脉瘤壁松脆易碎,瘤颈夹闭困难,缝合亦难以确定严密、不狭窄、不漏血。术中决定否决第二手术方案,按照第三方案执行。迅速截取备用的STA约4cm,切除动脉瘤,行原位血管移植术。两侧均以9-0血管缝合线端端吻合。吻合用时大约15分钟。释放临时阻断夹后血管通畅,搏动良好。术中超声测量移植血管血流量60ml/min。吻合过程中体感诱发电位有所改变,予以升血压处理后好转。清除颞叶血肿后额叶脑压仍高,予去除骨瓣减压。
术后情况:患者术后4小时清醒,言语同术前。可以遵嘱活动。右下肢肌力2级,右上肢肌力4级。经扩容、扩血管等治疗,术后第1天患者言语同术前,右侧肢体肌力已恢复至5级。
术后复查CTA:

白箭所示为移植的STA,两个小白箭头所示为两侧的吻合口。

白箭头所示为移植血管STA。

白箭头所示为移植血管STA。
患者已转回神外三病区。目前正在恢复中。感谢手术室、麻醉科、ICU的大力协助,感谢所有参与手术和术后管理的医生。大家一起携手,为保证患者***、健康尽一份力。